精密根管治療(根尖病変の改善)|マイクロスコープ・ラバーダム|みずほ台、ふじみ野市の歯医者|清水歯科医院
2017年07月29日
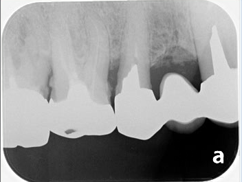
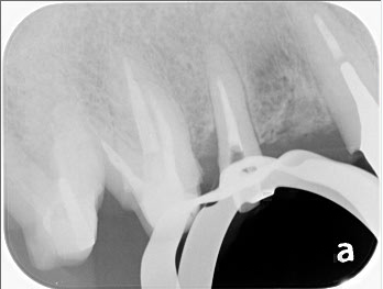
レントゲン上で左から2番目の歯の根管治療を行いました。
治療前は根の先に黒い像が確認できますが、治療後にはかなり縮小しているのが確認できました。
![]() |
![]() |

2017年07月29日
レントゲン上で左から2番目の歯の根管治療を行いました。
治療前は根の先に黒い像が確認できますが、治療後にはかなり縮小しているのが確認できました。
![]() |
![]() |
2017年07月25日
根の中の細菌感染がひどかったためラバーダムで唾液の侵入を防ぎ、無菌的な環境で根管治療を行いました。
レントゲン上で左から2番目と3番目の歯の根管治療をしました。
![]() |
![]() |
2017年07月25日
右上の奥から2番目の歯の神経が感染していたので、神経を取り、最終的な薬で埋めたところです。
この後、この歯はブリッジの土台の歯になります。
![]() |
![]() |
当院では、患者さんが抱えていらっしゃるお口のお悩みや疑問・不安などにお応えする機会を設けております。どんな事でも構いませんので、私達にお話ししていただけたらと思います。 ご興味がある方は下記からお問い合わせください。

症例は治療症例集をご参照ください。

料金は料金表をご参照ください。
